Cirugía endoscópica endonasal para resección de tumores de base de cráneo en población pediátrica: Experiencia en el Instituto Nacional de Cancerología
Contenido principal del artículo
Resumen
Introducción: La cirugía endoscópica endonasal se ha convertido en una herramienta fundamental para el manejo de patologías que comprometen la base de cráneo. En casos bien seleccionados, estas técnicas permiten resecciones quirúrgicas con una menor morbilidad sin comprometer los principios oncológicos de resección. Con el desarrollo de instrumental especializado, nuevas tecnologías y la experiencia de los cirujanos, la cirugía endoscópica endonasal se usa cada vez más en cirugía de base de cráneo en niños.
Objetivo: presentar una serie de casos de pacientes pediátricos con tumores de base de cráneo manejados con cirugía endoscópica endonasal.
Diseño: Estudio observacional descriptivo de tipo serie de casos. Metodología: se describe la experiencia con pacientes pediátricos llevados a cirugía endoscópica endonasal para manejo de tumores de base de cráneo en el Instituto Nacional de Cancerología entre julio de 2014 y diciembre de 2016.
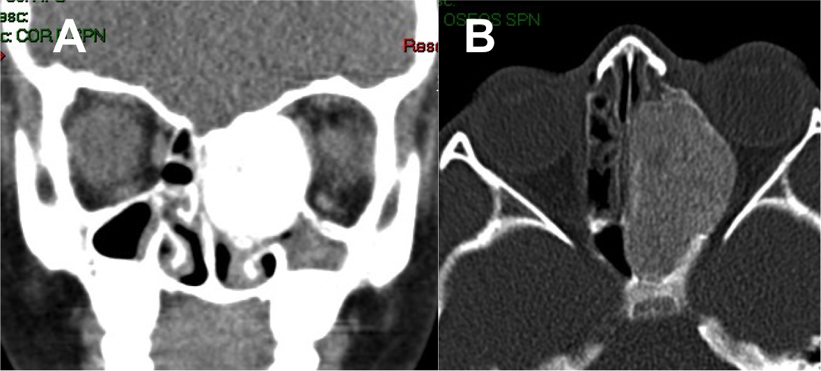
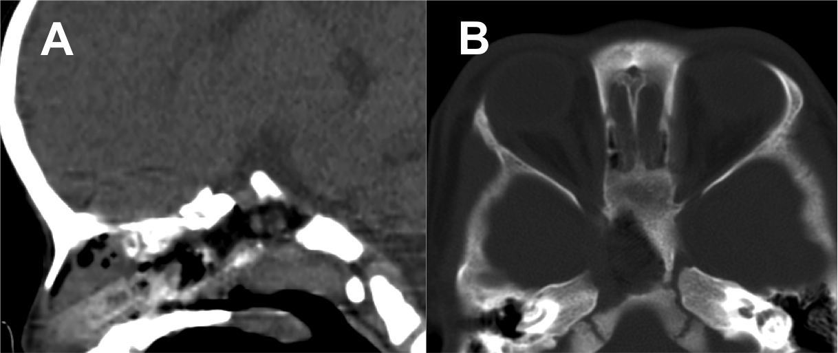
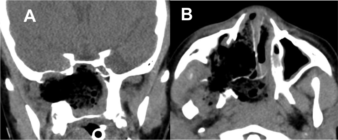
Resultados: Fueron intervenidos 8 pacientes entre los 2 y 14 años, con una edad promedio de nueve años y un seguimiento promedio de 16 meses. En el 75% se hizo una resección total del tumor. Un paciente requirió una reintervención y un paciente fue sometido a radiocirugía post-operatoria. 1 paciente falleció a pesar de múltiples intervenciones, quimioterapia y radioterapia.
Conclusión: La cirugía endoscópica endonasal para tumores de base de cráneo puede ser utilizada de forma segura en los pacientes pediátricos, es una técnica que en casos bien seleccionados pueden ofrecer excelentes resultados disminuyendo la morbilidad y complicaciones de las técnicas abiertas.
Detalles del artículo
Sección

Esta obra está bajo una licencia internacional Creative Commons Atribución-CompartirIgual 4.0.
Este artículo es publicado por la Revista Acta de Otorrinolaringología & Cirugía de Cabeza y Cuello.
Este es un artículo de acceso abierto, distribuido bajo los términos de la LicenciaCreativeCommons Atribución-CompartirIgual 4.0 Internacional.( http://creativecommons.org/licenses/by-sa/4.0/), que permite el uso no comercial, distribución y reproducción en cualquier medio, siempre que la obra original sea debidamente citada.
eISSN: 2539-0856
ISSN: 0120-8411
Cómo citar
Referencias
Cappabianca P, Cavallo LM, Colao A, Del Basso Del Caro M, Esposito F, Cirillo S, et al. Endoscopic endonasal transsphenoidal approach: outcome analysis of 100 consecutive procedures. Minim Invasive Neurosurg. 2002;45(4):193–200.
Snyderman CH, Carrau RL, Kassam AB, Zanation A, Prevedello D, Gardner P, et al. Endoscopic skull base surgery: Principles of endonasal oncological surgery. J Surg Oncol. 2008;97(8):658–64.
Prevedello DM, Kassam AB, Snyderman C, Carrau RL, Mintz AH, Thomas A, et al. Endoscopic cranial base surgery: ready for prime time? Clin Neurosurg. 2007;54:48–57.
Prevedello DM, Doglietto F, Jane JA, Jagannathan J, Han J, Laws ER Jr. History of endoscopic skull base surgery: its evolution and current reality. J Neurosurg. 2007;107(1):206–13.
Schwartz TH, Fraser JF, Brown S, Tabaee A, Kacker A, Anand VK. Endoscopic cranial base surgery: Classification of operative approaches. Neurosurgery. 2008;62(5):991–1002.
Herrera-Vivas A, Ospina-Díaz JA, Téllez-Cortéz PA, Feo- Lee O. Abordaje endoscópico transnasal para resección de tumores de la base de cráneo : nuestra experiencia. Acta otorrinolaringol. cir. cabeza cuello. 2012;125–32.
Chivukula S, Koutourousiou M, Snyderman CH, Fernandez- Miranda JC, Gardner PA, Tyler-Kabara EC. Endoscopic endonasal skull base surgery in the pediatric population. J Neurosurg Pediatr. 2013;11(3):227–41.
Banu MA, Rathman A, Patel KS, Souweidane MM, Anand VK, Greenfield JP, et al. Corridor-based endonasal endoscopic surgery for pediatric skull base pathology with detailed radioanatomic measurements. Neurosurgery. 2014;10(2):273–93.
Cavallo LM, Messina A, Cappabianca P, Esposito F, De Divitiis E, Gardner PA, et al. Endoscopic Endonasal Surgery of the Midline Skull Base: Anatomical Study and Clinical Considerations. Neurosurg Focus. 2005;19(1):1–14.
Verillaud B, Bresson D, Sauvaget E, Mandonnet E, Georges B, Kania R, et al. Endoscopic endonasal skull base surgery. Eur Ann Otorhinolaryngol Head Neck Dis. 2012;129(4):190–6.
Shah RN, Surowitz JB, Patel MR, Huang BY, Snyderman CH, Carrau RL, et al. Endoscopic pedicled nasoseptal flap reconstruction for pediatric skull base defects. Laryngoscope. 2009;119(6):1067–75.
Hadad G, Bassagasteguy L, Carrau RL, Mataza JC, Kassam A, Snyderman CH, et al. A Novel Reconstructive Technique After Endoscopic Expanded Endonasal Approaches: Vascular Pedicle Nasoseptal Flap. Laryngoscope [Internet]. 2006 [citado 2018 Ene 4];116(10):1882–6. Disponible en: http://doi. wiley.com/10.1097/01.mlg.0000234933.37779.e4
Kassam AB, Prevedello DM, Carrau RL, Snyderman CH, Thomas A, Gardner P, et al. Endoscopic endonasal skull base surgery: analysis of complications in the authors’ initial 800 patients. J Neurosurg. 2011;114(6):1544–68.
Di Rocco F, Couloigner V, Dastoli P, Sainte-Rose C, Zerah M, Roger G. Treatment of anterior skull base defects by a
transnasal endoscopic approach in children. J Neurosurg Pediatr. 2010;6(5):459–63.
Teo C, Dornhoffer J, Hanna E, Bower C. Application of skull base techniques to pediatric neurosurgery. Childs Nerv Syst. 1999;15(2–3):103–9.
Jagannathan J, Dumont AS, Jane JA Jr, Laws ER Jr. Pediatric sellar tumors: diagnostic procedures and management. Neurosurg Focus [Internet]. 2005 [citado 2018 Ene 4];18(6A):E6. Disponible en: https://www.ncbi.nlm.nih.gov/ pubmed/16048292
Fahlbusch R, Honegger J, Paulus W, Huk W, Buchfelder M. Surgical treatment of craniopharyngiomas: experience with 168 patients. J Neurosurg. 1999;90(2):237–50.
Koutourousiou M, Gardner PA, Fernandez-Miranda JC, Tyler- Kabara EC, Wang EW, Snyderman CH. Endoscopic endonasal surgery for craniopharyngiomas: surgical outcome in 64 patients. J Neurosurg. 2013;119(119):1194–207.
Hernandez-Alarcón VJ, Hernandez-Gonzalez S. Nasoangiofibroma juvenil: una revisión actualizada del diagnóstico, clasificación y tratamiento. Acta otorrinolaringol. cir. cabeza cuello. 2011;39(3):147–57.
Zanation AM, Mitchell CA, Rose AS. Endoscopic Skull Base Techniques for Juvenile Nasopharyngeal Angiofibroma. Otolaryngol Clin North Am. 2012 Jun;45(3):711-30.
Tsai EC, Santoreneos S, Rutka JT. Tumors of the skull base in children: review of tumor types and management strategies. Neurosurg Focus. 2002;12(5):1–13.
George B, Bresson D, Herman P, Froelich S. Chordomas: A Review. Neurosurg Clin N Am. 2015;26(3):437–52.
Gil Z, Patel SG, Cantu G, Fliss DM, Kowalski LP, Singh B, et al. Outcome of craniofacial surgery in children and adolescents with malignant tumors involving the skull base: an international collaborative study. Head Neck. 2009;31(3):308–17.
Mangussi-Gomes J, Beer-Furlan A, Balsalobre L, Vellutini EA, Stamm AC. Endoscopic Endonasal Management of Skull Base Chordomas: Surgical Technique, Nuances, and Pitfalls. Otolaryngol Clin North Am. 2016 Feb;49(1):167-82.
Jane JA Jr, Han J, Prevedello DM, Jagannathan J, Dumont AS, Laws ER Jr. Perspectives on endoscopic transsphenoidal surgery. Neurosurg Focus [Internet]. 2005 [citado 2018 Ene 10];19(6):E2. Disponible en: https://www.ncbi.nlm.nih.gov/ pubmed/16398479
Rastatter JC, Snyderman CH, Gardner PA, Alden TD, Tyler- Kabara E. Endoscopic endonasal surgery for sinonasal and skull base lesions in the pediatric population. Otolaryngol Clin North Am. 2015 Feb;48(1):79-99.